Emil Yatim et Guillaume Ledda reviennent sur leur semestre d’échange à l’Université de Toronto. Ce parcours, géré par le campus de Châlons-en-Champagne, inaugurait la première année d’échanges avec cette université canadienne.
Toronto, un choix stratégique
Le choix de Toronto s’est imposé naturellement pour les deux étudiants. Partir dans une université anglophone reconnue permettait d’améliorer l’expression orale tout en découvrant un nouvel environnement académique. Mais c’est surtout l’excellence de l’université en data science et en intelligence artificielle qui a fait la différence. Régulièrement classée première au Canada, Emil la décrit comme « un épicentre du Deep Learning », un argument décisif dans son choix.
Une pédagogie centrée sur les projets
Ce qui a particulièrement marqué Emil et Guillaume, c’est l’approche pédagogique centrée sur les projets. Les cours favorisent l’autonomie et la mise en pratique.
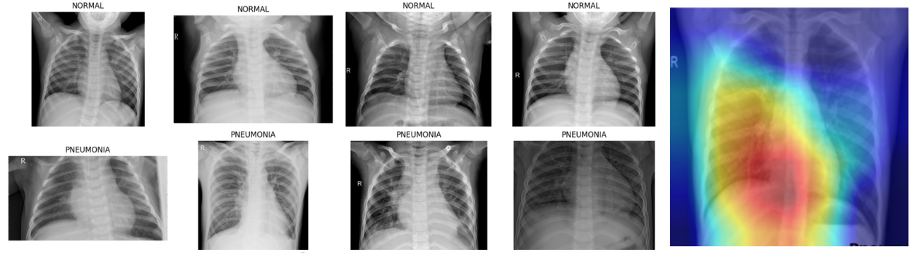
Emil a ainsi développé une intelligence artificielle capable de détecter une pneumonie à partir de radiographies pulmonaires. « Ce projet était assez complexe et lourd, mais il m’a vraiment permis de mettre en application ce que nous avions appris en cours tout en me formant sur des technologies non abordées jusque-là ».

Guillaume a, quant à lui, travaillé sur le dimensionnement des flux thermiques d’un appartement dans le cadre d’un cours d’énergétique du bâtiment. « Globalement, l’approche des cours est très orientée projet », explique-t-il. Son binôme avec un étudiant canadien lui a permis d’enrichir à la fois ses compétences académiques et sa compréhension de la culture locale.
Une spécialisation poussée en data et IA
Les deux étudiants mettent en avant la richesse et la spécialisation des cours suivis à Toronto en data science et en intelligence artificielle. L’approche de ces thématiques à l’Université de Toronto est plus ciblée et permet de se concentrer pleinement sur celles-ci. Emil précise que cette spécialisation offre l’opportunité d’approfondir les aspects techniques et d’expérimenter des cas pratiques avancés, là où d’autres cursus restent plus généralistes. Guillaume cite notamment le cours « Analytics in Action », très orienté pratique et centré sur les algorithmes prédictifs et le machine learning, qui complète de manière concrète leur formation initiale.
Une expérience humaine
Avec près de 100 000 étudiants répartis sur trois campus, l’université impressionne par sa taille. Le campus St. George, situé en plein centre-ville, accueil la majorité des étudiants internationaux.
Si peu d’événements sont organisés pour les élèves en échange, un groupe WhatsApp créé avant la rentrée a facilité les premiers contacts. Les liens se sont ensuite tissés naturellement. Emil évoque des amitiés durables, allant jusqu’à rendre visite à certains camarades en Europe quelques mois plus tard, tandis que Guillaume souligne la richesse des échanges multiculturels qui ont rythmé son semestre.

Un semestre d’échange réussi
Impossible pour eux d’évoquer leur séjour sans parler de la spectaculaire « Robarts Library ». Haute de 17 étages, elle est devenue leur principal lieu de travail et un véritable espace de vie étudiante.
Étant la première année à avoir participé à cet échange, ils ont parfois dû composer avec un manque d’informations administratives, mais soulignent l’implication et le soutien des équipes pour les accompagner.
Leur conseil aux futurs candidats est simple : osez partir et profitez pleinement de l’expérience ! Au-delà de la vie universitaire, ce semestre leur a aussi permis de découvrir le Canada, des chutes du Niagara à Montréal et Québec. Guillaume ajoute : « Vous pouvez contacter Emil ou moi, nous avons plusieurs conseils à donner sur la vie à Toronto. »
Pour tous les deux, ce semestre restera l’un des moments forts de leur parcours étudiant !
